"I went on a Saturday and barely had to wait. I also had a cavity and they offered to take care of it same day. The dentist was friendly and did fast and thorough work."
Alyssa W.
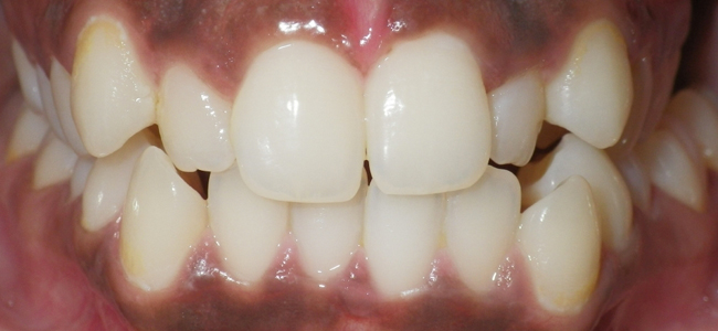
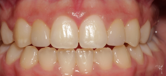
Click on any photo, then use the slider to see the difference we can make.


"I went on a Saturday and barely had to wait. I also had a cavity and they offered to take care of it same day. The dentist was friendly and did fast and thorough work."
Alyssa W.